O acúmulo de líquido nos pulmões, conhecido como edema pulmonar, é uma condição médica séria que interfere na função respiratória, prejudicando a troca de oxigênio entre os alvéolos pulmonares e o sangue. Essa situação pode ser provocada por múltiplas causas, desde doenças cardíacas até a exposição a condições ambientais extremas. Neste artigo, discutiremos de forma detalhada os sintomas, causas e abordagens de tratamento associadas ao edema pulmonar, visando fornecer uma compreensão holística e detalhada da condição.
Sintomas de Água nos Pulmões
O edema pulmonar é caracterizado por uma variedade de sintomas que podem aparecer de forma súbita ou gradativa. É crucial reconhecer esses sinais precocemente para evitar complicações mais sérias. Entre os sintomas mais frequentes estão:
- Dificuldade para respirar, que pode se intensificar ao deitar.
- Sensação de sufocamento ou que está se afogando.
- Chiado intenso durante a respiração.
- Tosse produtiva, com presença eventual de sangue na expectoração.
- Dor intensa no peito.
- Cansaço fácil e extremo.
- Inchaço nas extremidades inferiores, como pernas e pés.
- Mucosas, como lábios e pálpebras, podendo se apresentar roxas, indicando baixa oxigenação.
- Ansiedade devido à dificuldade respiratória.
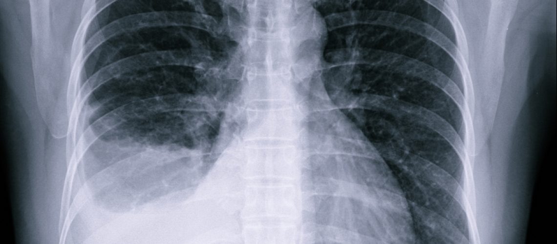
Na ocorrência de múltiplos sintomas, é imperative procurar assistência médica imediatamente para um diagnóstico apropriado através de exames como raio-X do tórax e análises laboratoriais.
Diagnóstico de Edema Pulmonar
O diagnóstico de edema pulmonar envolve uma avaliação abrangente dos sinais clínicos e histórico médico do paciente. O exame físico é crucial, com o médico realizando auscultação para detectar anomalias respiratórias. Além disso, os exames de imagem, como raios-X e possíveis tomografias, são essenciais para visualizar a extensão do líquido nos pulmões. Testes adicionais, como eletrocardiograma e ecocardiografia, podem ser necessários para investigar causas cardíacas subjacentes. Nos casos de infecção ou problemas cardiovasculares, exames de sangue também são fundamentais para determinar o nível de gases no sangue e a função cardíaca.
Causas Comuns de Água nos Pulmões
As causas do acúmulo de líquido nos pulmões são variadas e frequentemente associadas a disfunções cardíacas. As causas primárias incluem:
- Insuficiência cardíaca, que impede o coração de bombear eficazmente o sangue.
- Infarto agudo do miocárdio, levando a danos significativos no músculo do coração.
- Crises hipertensivas com elevações significativas da pressão arterial.
- Doenças das válvulas cardíacas, afetando o fluxo de sangue.
- Inalação de fumaça ou substâncias tóxicas, e quase afogamento.
- Infecções pulmonares graves, como a síndrome da angústia respiratória aguda (SARA).
- Exposição a altitudes elevadas sem aclimatação adequada.
Outras causas incluem problemas renais, ingestão excessiva de certas drogas e lesões neurológicas que impactam a função respiratória.
Tratamento para Água nos Pulmões
O tratamento do edema pulmonar deve ser iniciado rapidamente em ambiente hospitalar para evitar a progressão rápida e potencialmente fatal dos sintomas. As principais diretrizes incluem:
- Administração imediata de oxigênio para aliviar a hipoxemia.
- Diuréticos intravenosos para auxiliar na remoção rápida do excesso de líquido.
- Vasodilatadores para reduzir a pressão arterial e facilitar a função cardíaca.
- Em casos graves, ventilação mecânica pode ser necessária para garantir a oxigenação eficiente.
Procedimentos adicionais, como a colocação de um dreno pleural, podem ser necessários para a gestão de casos resistentes ao tratamento convencional. A consulta com um especialista em cardiologia ou pneumologia frequentemente é requerida para elaboração de um plano de tratamento a longo prazo.
A água nos pulmões, ou edema pulmonar, representa uma ameaça severa à saúde devido ao impacto direto sobre a capacidade respiratória do indivíduo. O reconhecimento imediato dos sintomas e a procura por intervenção médica são cruciais para garantir um prognóstico positivo. Pacientes com histórico de doenças cardiovasculares prévias devem manter um acompanhamento médico regular para prevenir o aparecimento do edema, garantindo qualidade de vida melhorada e controle das condições causadoras.



